A Pioneer Hospital in India for Kidney Stone Treatment by RIRS

Kidney Stone Formation

  • Home
  • /
  • Kidney Stone Formation
10% – 15% of population have Kidney Stones in their lifetime.
However, this figure seems to be increasing year by year.
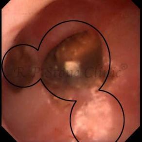
Randall’s Plaque is one of the factors for the formation of Kidney Stones
images/formationphotos/

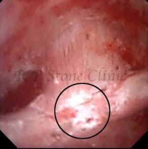
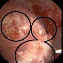
Kidney stone is a solid mass of CRYSTALS. It is the process of crystallization which initiates the formation of kidney stones. This happens in nephrons or units of kidney. Once a small crystal is formed, it can both grow & unite with other crystals leading to the formation of small concretion which eventually forms a stone. Once these large crystals detach from the collecting ducts, the process of stone formation starts in the renal collecting system. A recurrent kidney stone former is advised to know a little bit about something known as Randall’s plaque. Alexander Randall discovered plaques on the renal papillae eight decades back based on examination of 1154 pairs of autopsied Kidneys. He described these renal papillary lesions as cream colored or milk patch areas composed of calcium phosphate & calcium carbonate. These plaques could act as NIDUS for formation of KIDNEY STONE. Calcium Oxalate stone can form on this nidus & then detaches from this plaque to become a free floating stone in the collecting system of kidney

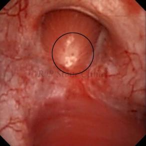
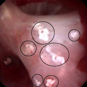
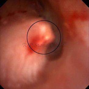
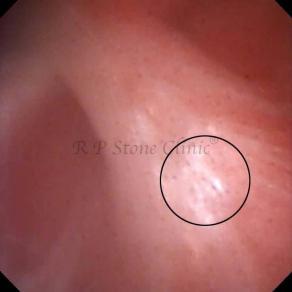
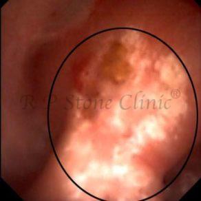
These images are taken as snap shots from the video recording of RIRS Surgery done at our hospital. These are Randall’s Plaques seen with Digital FLEX XC & Digital FLEX XC S. The cream or whitish patches are seen on the tips of RENAL PAPILLAE as seen in images below.
Randall’s Plaques may lead to the formation of Stones.
Those kidney stone patients who have Randall’s Plaques in their kidneys are more likely to form stones again (Recurrent Stones).
Stone Patients in whom Randall’s Plaques are detected at the time of RIRS Surgery should undergo regular ultrasound examination for early detection of stones.
Patients of Stones with Randall’s Plaques in their Kidneys should drink plenty of fluids in addition to Orange Juice & Lemonade.
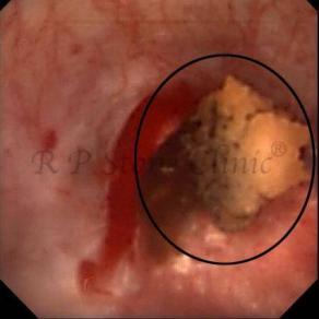
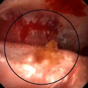
The Below Images Show Small Stones attached to the Renal Papillae.
  • In addition, there are several other factors responsible for kidney stone formation
  • Hypercalciuria ( Approx. 60% ) refers to increased excretion of calcium in the urine. This is the most common cause of kidney stone formation.
  • Hypocitrateuria ( Approx. 40% )is the second most common metabolic factor responsible for kidney stone formation.
  • Hyperuricosuria ( Approx. 35% ) refers to increased excretion of uric acid in the urine because of high uric acid in the blood.
  • Hyperuricosuria increases the risk of formation of Uric acid as well as calcium oxalate stones
  • Hyperoxaluria ( Approx. 10% ) usually results from a situation where oxalates are absorbed in to blood from the gastrointestinal tract & are excessively excreted in urine. Other reasons for hyperoxaluria are either excess consumption of spinach, chocolates & nuts or primary hyperoxaluria.
  • Cystinuria ( 1% ) is a disease characterized by high concentration of amino acid cystine in the urine
  • Hypomagnesiuria ( 1% ) is associated with inflammatory intestinal disease.
  • All above are metabolic & hereditary factors.
  • Let us now look at some other factors:-
  • KIDNEY STONE BELT :- We live in a stone belt. That means hot & dry climates. Kidney stones form all over India but are more so in our North India. Because of hot & dry climates, we produce concentrated urine which promotes crystallization leading to Kidney stone formation
  • Occupational factors :- Kidney stones are more common in people exposed to hot temperature.
  • Lifestyles :- Sedentary workers are more likely to form Kidney Stones.
  • Family History :- You are more likely to form a Kidney Stone if you have positive family history.
  • Horseshoe Kidney :- Because of possible impaired drainage of the collecting system in these Kidneys, there is higher incidence of Kidney Stone formation. However, other factors are also common in patients with Horseshoe Kidneys.
  • Polycystic Kidney Disease :- This is a genetic disease. This Kidney disease is characterized by the presence of bilateral multiple kidney cysts. Since the urinary drainage is impaired in these patients, they are more prone to develop Kidney Stones & Urinary Tract Infection.
  • Calyceal Diverticula :- Although, calyceal diverticula are rare out-pouchings usually of the upper collecting system of Kidneys, necks of these diverticula are extremely narrow leading to the formation of Kidney Stones.
  • Congenital Pyeloureteric block commonly known as PU block:- Because of impaired drainage of urine in this disease, there is secondary Kidney Stone formation.
  • Urinary tract Infection :- Patients of chronic urinary tract infection may form large stones in the Kidney called Struvite or infection Stones.
  • Dehydration :- Low fluid intake is an important factor & cause for formation of Kidney Stones. This leads to formation of concentrated urine. As a result of which, crystallization occurs resulting in the initiation of Kidney Stone.
  • Inflammatory bowel disease or Gastric bypass surgery :- Bowel diseases may lead to diarrhea & therefore dehydration with resultant concentrated urine. Bowel diseases also can cause excessive absorption of oxalates from the intestines resulting in hyperoxaluria
  • Hyperparathyroidism :- Is one of the causes of recurrent stone formations. This disease causes hypercalcemia which leads to stone formation. If hyperparathyroidism is not treated, patient is likely to form recurrent Kidney Stones.
  • Medications & Kidney Stones :- There are several drugs use of which can lead to formation of Kidney Stones. To name few of them are Triameterene, Ciprofloxacin, Sulfamethoxazole-Trimethoprim, Indinavir, Laxatives, Magnesium Trisilicate, Sulfadiazine,Ephedrine etc